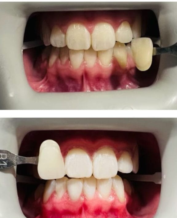
Implant - Cosmetic - Family
Our Dental Services