Tooth Colored Fillings
Types of Fillings
There are four different choices that you have when it comes to filling a cavity.
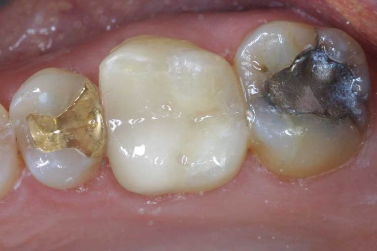
- Composite Fillings - Natural tooth-colored filling, bonds to the tooth to provide added security.
- Silver Fillings - Inexpensive and strong amalgam based filling.
- Gold Fillings - More attractive than silver and provide for a better fit.
- Porcelain Fillings - Also called inlays; the most attractive and durable of the tooth colored choices.
Tooth-Colored Fillings
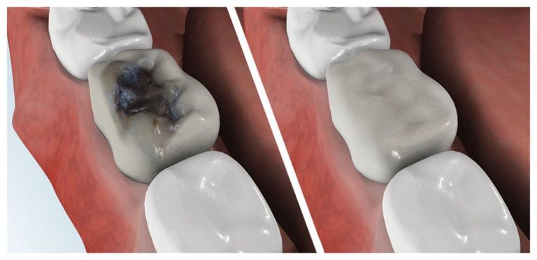
Composite fillings are today's modern filling choice. They are made to match your tooth's natural color to make them virtually invisible to notice and are placed onto the tooth by bonding the filling material to the tooth so they do not have the unlikely chance of falling off. Many patients choose to replace their old silver and gold fillings with composite fillings.
Other Benefits:
- Beautiful in appearance
- Completed in a single visit
- No filling leaks
- Less chance of tooth cracking
Strong and Natural Looking
White fillings are made from a high-strength composite resin that can be easily color-matched to your natural tooth making it nearly invisible to you and anyone else. Unlike silver and gold fillings, composite tooth-colored fillings actually bond to the tooth which means they support the surrounding tooth structure, which helps to prevent breakage and insulate the tooth from excessive temperature changes. You are much less likely to have a composite filling fall out which is a common issue with metal fillings.
Don't Count Silver & Gold Out Completely
Silver and gold fillings have been around for a very long time; and to this day, they do an adequate job in filling teeth. Today's white fillings are, by far, a patient's first choice when it comes to any kind of dental procedure that requires a filling because of their natural cosmetic benefits. This doesn't mean white fillings are the best choice in every situation; metal fillings still have their own benefits.
Metal fillings (also known as amalgam fillings) are very strong and do not wear out as quickly as composite (white) fillings. In situations where a tooth requires a large filling and other treatment options such as porcelain crowns are not desired, a metal filling might be your best treatment option because of the structural qualities of the metals themselves; and composite fillings generally can't withstand the forces exerted on them if they have to cover a very large area. Metal fillings generally cost less than natural-looking fillings, and patients that need fillings in any out-of-sight teeth often consider a metal filling.
How Much Do White Fillings Cost?
As with every dental procedure, prices vary depending on each person's unique treatment situation but white fillings generally cost more than metal fillings. Most patients report back to us that the advantages of white fillings outweigh the price differences because of their natural appearance and unique ability to bond to the teeth.
Are White Fillings Covered Under Dental Insurance?
Many dental insurance plans cover the price of white fillings up to that of metal fillings. Terrace Oaks Dental will gladly check with your dental insurance provider to see just how much they will cover and help you experience white fillings for yourself.
If you are thinking about replacing your old metal fillings with natural-looking white fillings, please call us at (813) 985-6606 or request an appointment today. We'll get you in and will go over everything needed to get you on your way to a much more natural looking smile.
