Smile Gallery
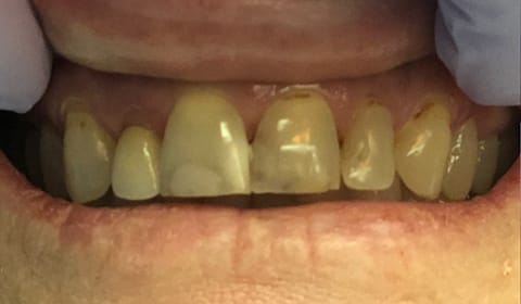
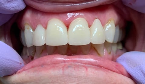
Case 01:
Porcelain Veneers
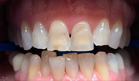
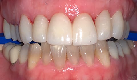
This patient was concerned with heavy staining and brown spots on her front teeth. She has some old white fillings that were done many years ago. Overtime, these fillings started to trap stains and cavities forming around them. To address her need, we placed porcelain veneers on her front six teeth. This was done in 2 short visits requiring minimal anesthesia and minimal drilling. We used our Trios 3-Shape scanner to digitally scan her teeth to the lab. No impression were ever taken in this case and the veneers were designed digitally. Patient was extremely happy with her new smile.
Before
After
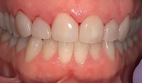
Case 02:
Before
After
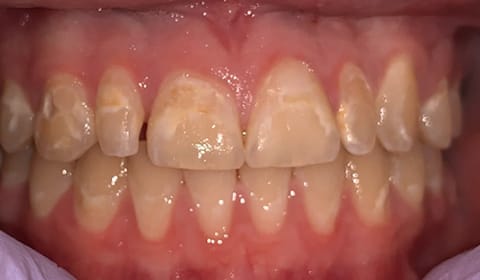
Case 03:
Porcelain Veneers
This young girl and her family has been in our practice for quite sometime. She was under a care of an Orthodontist and was excited to get her braces off right in time for her homecoming. However, once the braces were off, she noticed white spots, holes on her teeth, and gap in her front right teeth. Upon examination, we found cavities where the braces were place. In addition, she was born with an abnormally small lateral incisor. After consulting with her and her parents, we decided that porcelain veneers was the best long term solution to fix the problems. This was done in 2 quick visits with minimal anesthesia. Her teeth were scanned using our 3Shape Trios Scanner. No impression was ever taken and the case was designed digitally. We were able to complete this case in time for her homecoming and she couldn’t be any happier.
Before
After
Case 04:
Before
After
Case 05:
Before
After
Case 06:
Dental Implant
21 year old patient who lost tooth #8 due to trauma. The tooth was replaced with a dental implant and back to smiling again!
Before
